1、性价比高;
2、货期短;
3、售后服务方便;
注:
根据配置不同,
显微镜价格会
有较大差异!
具体价格根据配置确定,
详细请咨询产品经理。
提取类试剂盒纯化类试剂盒分析类试剂盒检测类试剂盒标准品试剂盒诊断试剂盒试剂盒内组分
更多 >>一抗二抗标签抗体流式抗体质谱流式抗体合成抗体抗体芯片ELISA检测试剂免疫磁珠及相关免疫学血清western blot对照抗体
更多 >>核酸提取与纯化PCR相关试剂核酸电泳分子克隆及其相关蛋白提取与纯化蛋白酶及其相关蛋白电泳及相关蛋白表达与纯化多肽及其相关二代测序及其相关表观生物学相关糖生物学相关核酸分离磁珠其它
更多 >>血清细胞培养基生长因子平衡盐转染试剂缓冲液添加成分细胞冻存液检测试剂基质胶病毒包装抗生素细胞裂解相关细胞检测相关
更多 >>固定包埋染色免疫荧光免疫组化原位杂交Tunnel检测组织芯片组织质谱流式
更多 >>食用琼脂生化琼脂氨基酸添加剂微生物培养基培养基微量添加剂感受态细胞病毒相关微生物检测试剂
更多 >>克隆载体表达载体病毒载体大片段载体菌株病毒株文库芯片文库构建
更多 >>细胞株细胞系原代细胞干细胞线虫品系果蝇品系斑马鱼品系小鼠品系大鼠品系
更多 >>基因组学蛋白质组学转录组学表观组学代谢组学脂质组学多组学空间组学基因芯片蛋白芯片组织芯片
更多 >>常用无机酸常用碱盐类单质氧化物标准品无机试剂混合物其它无机试剂专用水
更多 >>烃类醛类醇类酮类酯类醚类糖类有机酸类杂环类有机衍生物有机标准品其它有机试剂
更多 >>普通吸头滤芯吸头低吸附吸头加长吸头工作站专用吸头移液管巴氏滴管量筒大号离心管离心瓶加样槽移液管手动助吸器连续分液器管嘴瓶口分液器
更多 >>离心管PCR管PCR板封板膜离心管架离心管冰盒PCR管架PCR管冰盒离心管开盖器PCR管开盖器封板刮漂套管废液管96孔板其它封板膜研磨管研磨珠磁力架纯化柱收集管其它管、板耗材
更多 >>蓝盖瓶试剂瓶储液桶冻存管冻存管盒不锈钢冻存盒架程序降温盒铝质封板膜试剂盒内耗材
更多 >>细胞培养皿细胞培养瓶细胞培养板细胞爬片Transwell培养小室细胞刮刀细胞滤网其它细胞培养耗材
更多 >>接种环涂布棒平板涂布玻璃珠灭菌指示胶带灭菌指示标签灭菌袋酒精灯抽滤瓶酒精灯灯芯其它无菌操作类耗材
更多 >>摇菌试管细菌培养皿塑料摇菌管深孔板三角瓶三角瓶封口膜针头式滤器无菌过滤器
更多 >>组织和细胞破碎透析膜透析夹超滤管超滤膜NC膜PVDF膜显影胶片显影夹蛋白纯化耗材
更多 >>手套实验服头罩鞋套护目镜Parafilm微孔滤膜锡箔纸称量盘、称量纸干燥器
更多 >>比色皿酶标板玻片层析柱色谱柱固相萃取柱核磁管玻璃试管血球计数板切胶器镍柱填料吸附柱
更多 >>记号笔防酒精笔免疫组化笔滤纸pH试纸标签纸擦镜纸无粉擦拭纸实验记录本
更多 >>手术剪刀实验室推车冰桶镊子磁力搅拌子搅拌子取出器离心管开盖器计时器线虫实验室相关耗材果蝇实验室相关耗材其它称量耗材解剖针
更多 >>更多 >>
移液器培养箱培养摇床灭菌锅天平超净工作台离心机pH计纯水系统烘箱制冰机其它实验室常用仪器离心机配件旋转蒸发仪手套箱通风柜
更多 >>水平电泳槽垂直电泳槽电泳仪凝胶成像切胶仪转印仪化学发光成像WB一体机电泳类仪器配件多功能成像系统
更多 >>冷柜冰箱超低温冰箱层析柜程序降温仪细胞复苏仪真空冷冻干燥机液氮罐
更多 >>PCR仪荧光定量PCR数字PCR水浴锅金属浴恒温混匀仪恒温槽温控类仪器配件氮吹仪
更多 >>体视显微镜倒置显微镜正置显微镜共聚焦显微镜活细胞工作站显微操作显微切割影像分析软件显微成像系统相关配件光源三维成像
更多 >>磁力搅拌器脱色摇床涡旋振荡器静音混合器旋转培养器组织破碎仪超声破碎仪其它混匀仪均质、混匀类仪器配件
更多 >>酶标仪渗透压仪菌落计数器流式细胞仪分光光度计超微量分光光度计微生物鉴定
更多 >>气相色谱仪液相色谱仪离子色谱GC-MSLC-MSICP-MSMALDI-TOF-MS光谱类仪器123总有机碳(TOC)/总氮(TN)分析凯氏定氮
更多 >>光合作用测定叶绿素荧光测量冠层分析仪茎流测量仪叶面测量相关仪器土壤测量类仪器光照培养箱人工气候箱植物生长箱植物组培箱可调光波培养箱低温培养箱
更多 >>脱水机染色机石蜡切片机冷冻切片机震动切片机烤片机行为分析仪器电生理仪器
更多 >>小鼠/大鼠饲养相关设备小动物活体成像系统果蝇实验室相关仪器线虫实验室相关仪器斑马鱼实验室相关设备爪蟾实验室相关设备其它模式生物相关设备动物实验相关设备
更多 >>液体处理工作站核酸自动化提取仪智能细胞制备系统蛋白纯化系统单细胞分析工作站菌落高通量筛选工作站生物反应器其它工作站密度梯度离心
更多 >>生物安全柜液氮罐简易倒置显微镜细胞监测显微镜细胞计数器细胞离心机单细胞分析相关设备桌面流式细胞仪
更多 >>载体构建文库构建转基因技术服务核酸提取与纯化人工诱变与遗传筛选引物、探针和全基因合成高通量核酸检测服务PCR/反转录PCR/QPCR等普通核酸检测核酸电泳核酸原位杂交5`和3` RACE质粒或PCR产物测序(一代测序)基因分型服务表观遗传学技术服务蛋白质的提取/分离和纯化重组蛋白表达服务蛋白电泳western blot技术服务蛋白质一级结构/二级结构和高级结构分析服务蛋白质之间相互作用分析服务蛋白质与核酸相互作用分析染色质结构与基因表达调控分析服务转录与基因表达调控服务翻译与基因表达调控服务多肽合成服务
更多 >>病毒包装服务细胞转染服务干细胞定向诱导分化细胞鉴定服务细胞增殖检测细胞黏附检测细胞迁移与侵袭细胞同步化相关服务细胞周期检测服务细胞凋亡检测服务细胞免疫化学检测流式细胞检测服务细胞代谢检测服务细胞培养服务单细胞分析相关服务单细胞分析
更多 >>软化脱钙石蜡包埋石蜡白片定位切片冷冻切片各类染色免疫荧光免疫组化拍照切片扫描病理阅片及报告组织质谱流式技术服务
更多 >>抗体制备服务抗体标记服务ELISA检测western blot染色质免疫沉淀(ChIP)免疫沉淀(IP)免疫共沉淀(Co IP)
更多 >>血生化分析氨基酸分析单糖和多糖分析类黄酮检测花青素检测脂肪酸检测维生素和激素检测
更多 >>基因组学服务RNA组学服务转录组学服务蛋白质组学服务代谢组学服务多组学服务空间转录组学服务空间表达谱学服务生信分析服务
更多 >>气相色谱检测与分析服务液相色谱检测与分析服务离子色谱检测与分析服务高效液相色谱服务GC-MS分析服务LC-MS分析服务ICP-MS分析服务MALDI-TOF-MS分析服务高分辨率质谱分析服务傅里叶变换红外光谱仪(FTIR)分析有机元素分析原子吸收光谱分析吡啶红外分析服务瞬态稳态荧光光谱分析高频红外碳硫分析粒度分析液体核磁分析凝胶渗透色谱分析圆二色谱分析
更多 >>荧光显微镜拍照激光共聚焦拍照活细胞工作站观察TEM观察SEM观察原子力显微镜观察
更多 >>转基因模型构建肿瘤模型裸鼠成瘤呼吸系统疾病动物模型心血管病动物模型损伤模型帕金森模型行为学模型给药模型动物代养
更多 >>大型仪器上机实验单台仪器月租单台仪器年租常用小仪器租用整套仪器租赁实验台租赁细胞间租赁实验室整体租赁会议室租赁
更多 >>文献代查文献翻译课题设计咨询数据处理辅助作图论文润色实验技术培训
更多 >>商品优势
1、性价比高;
2、货期短;
3、售后服务方便;
注:
根据配置不同,
显微镜价格会
有较大差异!
具体价格根据配置确定,
详细请咨询产品经理。
商品详情

NIB 910介绍和配置表
一、简介:
NIB910 作为一台能够满足先进生命科学研究而设计的 科研级倒置显微镜,能够满足您的各种需求。它是一台全能的显微镜,它能实现明场、暗场、相衬、偏光、 DIC、荧光等观察方式。甚至顶尖生命科学研究所需的共聚焦、超分辨等都可以在这台显微镜上实现。
充分考虑使用者的操作习惯,采用人体工程学设计, 大大减少因为长时间观察工作导致的机械性疲劳。
二、观察方式:
可以实现明场、相衬、DIC和荧光(需另配荧光组件)等多种观察方式。

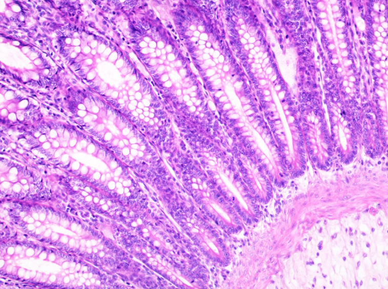
图1、HE染色效果图

图2、

图3、DIC效果图
三、产品参数:
1、光学系统:
无限远光学系统
2、目镜:
SW10X/22 ·SW10X/25 ·EW12.5X/17.5 ·WF15X/16 ·WF20X/12;标配SW10X/22
3、观察头:
铰链式三目(带勃氏镜),45 度倾角,瞳距 47-78mm,瞳距可调;
4、物镜:
标配:N-iPLFN PH 平场半复消色差相差物镜 4X、10X、20 X、40X、60X;
可选:DIC物镜
5、物镜转换器:
六孔物镜转换器,带 DIC 插槽;
6、聚光镜:
长工作距离转盘式聚光镜,NA 0.55,WD=2
7、照明:
(1) 透射照明:柯勒照明, 12V/100W 卤素灯 /柯勒照明,10W LED 照明两种可选;
(2)落射照明:10W LED 荧光照明
8、调焦系统:
同轴粗微动升降机构,移动行程 9mm(向上 7mm,向下 2mm)
9、载物台:
三层机械移动平台,移动范围 130X85 mm,柔性手柄;可根据需求在顶层平台上安装不同尺寸的小工作台
10、载物托盘:
Terasaki 托板 、φ38mm 、φ54mm 托板 、通用托盘 、96 孔板托盘等多种托盘可选
产品相关资料和文献
京ICP备2021004563号-1 Copyright© 版权所有 2020-2021,All Rights Reserved
联系电话:
010-80307852